Skip to content

عظام الأطفال | د.محمد عايض العتيبي

صفحة طبية تثقيفية تهتم بصحة عظام طفلك
09/10/2022

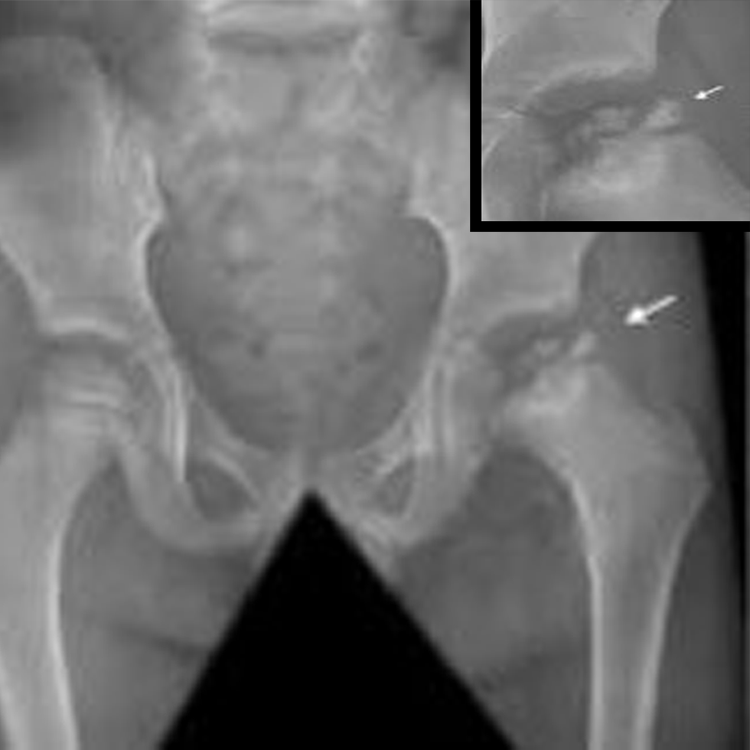
انزلاق رأس الفخذ SCFE

Continue reading →
03/10/202207/10/2022

المشي على الأصابع

Continue reading →
27/09/202203/10/2022

داء ليغ كالفيه بيرثيز

Continue reading →
27/09/202203/10/2022

كسور منطقة النمو

Continue reading →
20/09/202203/10/2022

حذاء القدم الحنفاء

Continue reading →
20/09/202203/10/2022

انحراف الاقدام للداخل

Continue reading →
20/09/202203/10/2022

حنف القدم (حنفاء، مخلبيه)

Continue reading →
20/09/202203/10/2022

خلع الكوع

Continue reading →
17/09/202203/10/2022

كسور مفصل المرفق

Continue reading →
17/09/202203/10/2022

خلع الورك الولادي

Continue reading →
13/09/202203/10/2022

العنايه بالسروال الجبسي

Continue reading →

التصنيفات:

  • الكسور
  • تشوه العظام
  • خلع
  • غير مصنف


عن الموقع

د.محمد عايض العتيبي



    • Link
    • Twitter
    • Instagram
    2022 - لامانع من طباعة الصفحه ونشرها ، مع الحفاظ على حقوق المصدر